为了追求刺激,他把哑铃塞进自己的下体
2023-12-31 来源:文库网
一名医生朋友说,猎奇的故事总是会发生在肛肠科和急诊。
微博中就有一个#菊花超市#的话题,里面记录了几百种后门受伤的方式。
面对医生的询问,患者往往支支吾吾、故作镇定、推卸责任:
别问,问就是“不小心”坐了下去。
别怀疑,是瓶子先动的手。
为什么总有男性喜欢往下体塞异物?
究竟是出于对人体奥秘的探索,还是对激情生活的渴求,又或是丰富多彩的经历所致?
百思不得其解,橙子唯有带大家“一探究竟”。
01、直肠异物
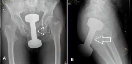
据统计,在急诊室,男性“失物招领”的情况是女性的40倍,大部分都是在直肠中发现的,并且种类繁多:
酒瓶、刀、叉子、喷雾罐、哑铃、灯泡、罗非鱼……只有你想不到的,没有“直男”们不敢塞的,比如说,哑铃。
案例一:浙江一小伙在家休息时,将一根20cm长、5cm粗的玻璃棒塞进自己的肛门,无法用手取出后感到肛门胀痛,最后去医院取出。
微博中就有一个#菊花超市#的话题,里面记录了几百种后门受伤的方式。
面对医生的询问,患者往往支支吾吾、故作镇定、推卸责任:
别问,问就是“不小心”坐了下去。
别怀疑,是瓶子先动的手。
为什么总有男性喜欢往下体塞异物?
究竟是出于对人体奥秘的探索,还是对激情生活的渴求,又或是丰富多彩的经历所致?
百思不得其解,橙子唯有带大家“一探究竟”。
01、直肠异物
据统计,在急诊室,男性“失物招领”的情况是女性的40倍,大部分都是在直肠中发现的,并且种类繁多:
酒瓶、刀、叉子、喷雾罐、哑铃、灯泡、罗非鱼……只有你想不到的,没有“直男”们不敢塞的,比如说,哑铃。

案例一:浙江一小伙在家休息时,将一根20cm长、5cm粗的玻璃棒塞进自己的肛门,无法用手取出后感到肛门胀痛,最后去医院取出。
